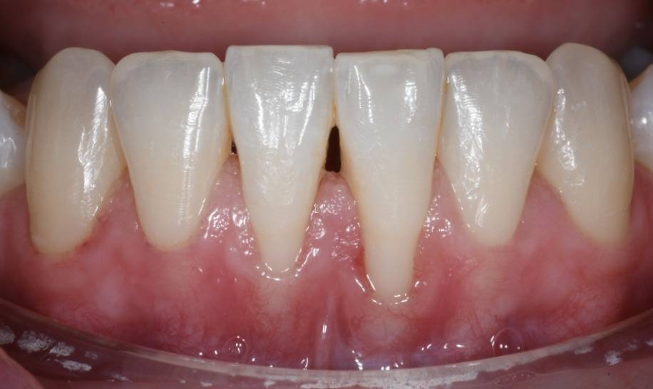
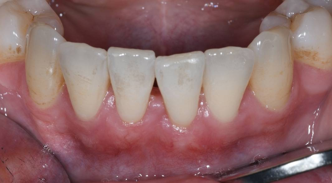
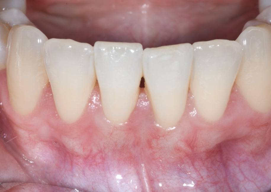
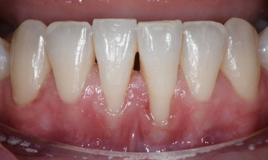
Die zahnärztliche Mikrochirurgie steht für höchste Präzision bei maximaler Schonung der oralen Gewebe. Durch das Arbeiten unter starker Vergrößerung und mit feinsten Instrumenten können selbst kleinste Strukturen kontrolliert, gewebeschonend und vorhersagbar behandelt werden. Ziel ist es, chirurgische Eingriffe so minimalinvasiv wie möglich und zugleich maximal effektiv durchzuführen.
Ein zentraler Bestandteil mikrochirurgischer Konzepte ist der Einsatz von extrem dünnem, atraumatischem Nahtmaterial. Diese feinen Nähte ermöglichen eine spannungsfreie Adaptation des Gewebes, reduzieren Traumatisierung und fördern eine schnelle, komplikationsarme Wundheilung – mit deutlich geringerer Schwellung und postoperativem Unbehagen.
Zur biologischen Unterstützung der Heilung kommt bei Bedarf PRF (Platelet Rich Fibrin) zum Einsatz. Dieses körpereigene Konzentrat aus Blutplättchen und Wachstumsfaktoren fördert die Regeneration von Weich- und Hartgewebe, unterstützt die Durchblutung und trägt wesentlich zu stabilen, langfristigen Behandlungsergebnissen bei.














