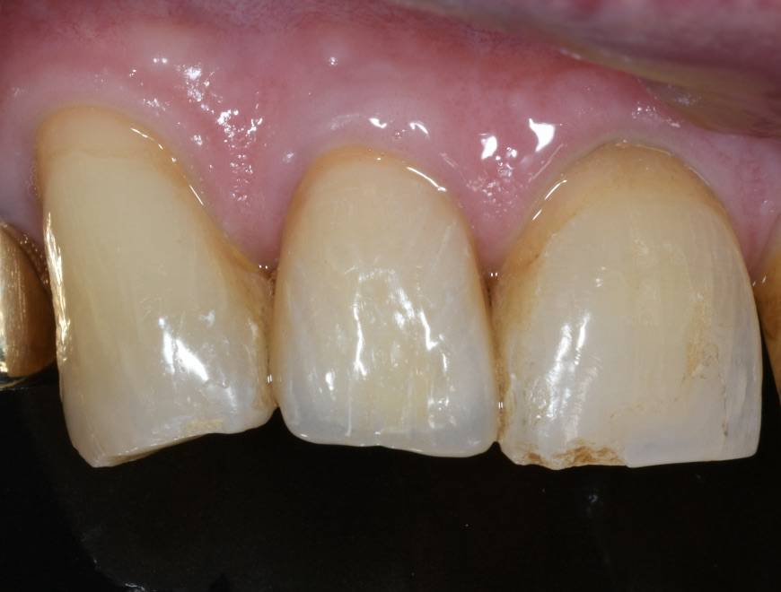
Funktionelle Kieferorthopädie – Balance von Funktion, Muskulatur und Ästhetik
Die funktionelle Kieferorthopädie verfolgt das Ziel, Zähne und Kiefer nicht isoliert zu betrachten, sondern im Zusammenspiel mit Muskulatur, Kiefergelenken und Körperhaltung. Fehlstellungen können zu muskulären Dysbalancen, funktionellen Beschwerden oder Überlastungen führen. Eine funktionell ausgerichtete Therapie setzt genau hier an – sanft, individuell und nachhaltig.
Im Mittelpunkt steht die Wiederherstellung eines harmonischen muskulären Gleichgewichts. Durch gezielte kieferorthopädische Maßnahmen können Fehlfunktionen korrigiert, Belastungen gleichmäßig verteilt und physiologische Bewegungsabläufe unterstützt werden. Die Behandlung kann sowohl mit festsitzenden Apparaturen als auch mit modernen Alignersystemen erfolgen – angepasst an Alter, Lebensstil und individuelle Anforderungen.
Ein wesentlicher Bestandteil dieses Konzepts ist die interdisziplinäre Zusammenarbeit, insbesondere mit Logopädinnen und Logopäden. Fehlfunktionen der Zunge, des Schluckmusters oder der Lippenmuskulatur können den Behandlungserfolg maßgeblich beeinflussen. Durch die begleitende logopädische Therapie werden myofunktionelle Muster gezielt trainiert, sodass kieferorthopädische Korrekturen nachhaltig stabilisiert werden.
Die funktionelle Kieferorthopädie eignet sich sowohl für Kinder und Jugendliche in der Wachstumsphase als auch für Erwachsene. Ziel ist nicht nur eine ästhetische Zahnstellung, sondern vor allem eine stabile Funktion des gesamten Kausystems – als Grundlage für langfristige Zahngesundheit, Beschwerdefreiheit und ein natürliches, ausgewogenes Erscheinungsbild.






























